12 de abril de 2023 - 18:30

El increíble descubrimiento que permite detectar cáncer de mama hasta 5 años antes gracias a la inteligencia artificial

Investigadores lograron anticipar la enfermedad gracias a un nuevo método basado en IA. La predicción temprana, antes de que se desarrolle en el paciente, podría revolucionar los tratamientos.

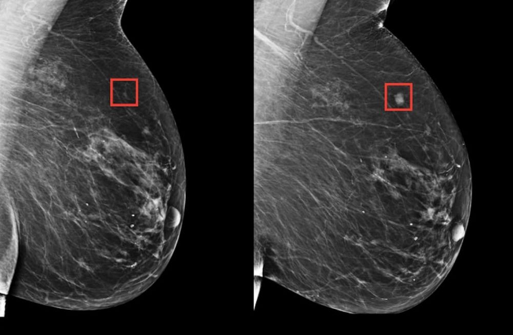
El mundo de la ciencia de la salud está revolucionado por un nuevo método basado en inteligencia artificial que permite detectar el cáncer de mama hasta 5 años antes de su desarrollo en el paciente. Se trata de un nuevo modelo de deep learning (aprendizaje profundo) que aplica algoritmos de IA a mamografías convencionales.

Los investigadores y protagonistas forman parte del Laboratorio de Ciencias de la Computación e Inteligencia Artificial (CSAIL) y del Hospital General de Massachusetts, según informó National Geographic, y son quienes han dado con este nuevo método de predicción del cáncer futuro que podría revolucionar los tratamientos.

Es que esta nueva posibilidad permite conocer con precisión en la categoría de mayor riesgo al 31% de todos los pacientes con cáncer, frente a un 18% de los modelos tradicionales. De esta manera, traería la solución a uno de los mayores problemas a la hora de combatir el cáncer, como lo es la detección tardía y, como consecuencia, los tratamientos agresivos.

La identificación anticipada de los pacientes en riesgo a partir de este nuevo modelo de aprendizaje profundo se vuelve vital para detectar en una mamografía si el paciente desarrollará cáncer en el futuro.

Gracias a las mamografías y los resultados de más de 60.000 pacientes, los investigadores desarrollaron una serie de algoritmos que aprenden los sutiles patrones del tejido mamario que son precursores de un tumor maligno.

Así, en lugar de detectar de forma manual los patrones individuales, este modelo de aprendizaje profundo basado en la inteligencia artificial induce los patrones a partir de datos. Entrenado con más de 90.000 mamografías, este modelo detecta patrones tan sutiles que sería imposible reconocer con el ojo humano.

Los investigadores explicaron, además, que este proyecto también significa un paso muy importante para las diferencias raciales, ya que el nuevo modelo es igualmente efectivo en mujeres blancas y negras, lo que hasta ahora no había ocurrido con modelos anteriores.

“Esto es especialmente importante para las mujeres afroamericanas, que son 43% más propensas a morir de cáncer de seno que las mujeres blancas”, sostiene el estudio.

Ansiosos por aplicar este modelo a otras enfermedades, los investigadores siguen estudiando este método a fondo con la esperanza de que pueda algún día “permitir a los médicos usar mamografías para ver si los pacientes tienen un mayor riesgo de otros problemas de salud, como enfermedades cardiovasculares u otros tipos de cáncer”, indicó NatGeo.

LAS MAS LEIDAS